The break is over
My son, Hayden, took the field again this weekend. It had been a while. About six weeks ago, he was riding his bike on wet pavement, lost control as he tried to turn, crashed into a curb and flipped over headfirst before landing on the concrete.
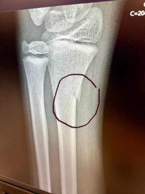
His right side got torn up. But his left wrist was worse.
He “only” broke his wrist was our reaction. This next picture illustrates why.
A big break — His bike helmet cracked from his forward fall onto the concrete. His forehead did not. Thank the Good Lord for that. And his mother.
The day before the crash my wife, Emily, noticed that he had ridden his bike to a friend’s house without his helmet. After their conversation, our son knew better the following day not to make that mistake again.
What if? — I couldn’t get that “what if?” out of my head in the days that followed his bike crash. What if he hadn’t worn his helmet? What if it would have been his forehead that collided with concrete rather than the helmet that took the brunt of the impact?
There were many prayers of thanks after he came home from the hospital with “only” a cast.
Back on the field — I thought about the crash as Hayden returned to the baseball diamond Saturday. I also likely thought more about that broken bone than he did.
I also thought of the Vogel family.
As Hayden was trying to pass the time without baseball for those six weeks in a cast, he received a package with a letter. The Vogel family sent him too many fishing lures to count (Hayden had just finished fishing on the day that he broke his wrist). The lures were such a thoughtful gesture. The letter was even more so.
True kindness. Thank you.
Light vs. Dark — Now that the national political conventions have wrapped up, they have provided a glimpse of the themes that Kamala Harris and Donald Trump are using in their presidential campaigns.
Harris is pushing joy, optimism and decency. Trump is largely a much darker, ominous message. He warns of raging crime, a migrant invasion and his apocalyptic warning that he must save our country.
We need to know much more from both of them about specific policies that they will propose to improve our country. Not just themes.
But even without much specific substance yet, we see some difference between the two of them on a vision for the future and how they see today.
“Inside Iowa Politics” — On my show this week, we heard from Iowa Democratic delegates on the concept of joy, the protests outside the convention, what the Minnesotan on the ticket can bring, and why they think that Democrats could do better this election with rural voters. Watch the show here.
A first — What we learned, what we saw and what we liked and didn’t like at the Democratic National Convention were all part of “Iowa Down Ballot,” a podcast by the Iowa Writers Collaborative. This was the first time that I served as moderator. Listen to the latest podcast here.
Struggles ahead — What makes someone say they think agriculture could suffer a lot the next few years but still be optimistic about the future? Listen for yourself as Paul Neiffer explains it to me in the latest American Farmland Owner podcast.
A new future — Best wishes to my former TV colleague, Elias Johnson. Elias is a talented anchor, reporter and photographer. Not many can successfully master those three but Elias did. The Des Moines Register reported on how Elias’ final day at work wasn’t what he wanted or expected.
Thanks for reading and thanks for supporting this column each week.
I write this column as part of the Iowa Writers Collaborative, a group of independent authors who share their thoughts, opinions, analysis and reporting on a variety of topics. Pulitzer Prize winning Iowa journalist Art Cullen wrote that “Trump’s flag goes limp in dog days of summer.”




Echoing my neighbor Kathi’s comments, so happy to hear that Hayden is recovering & has “only” a broken wrist. Take care & best wishes to all.
Glad Hayden is doing well. Yes, thank God he was wearing his helmet. Thank you for telling all of about Hayden's accident. It is a good reminder to remain vigilant about the rules!